Cabinet specializat în intervenții chirurgicale
un spațiu modern, dotat cu aparatură de ultimă generație, pentru siguranța și confortul pacienților.
Implanturi dentare inserate cu success
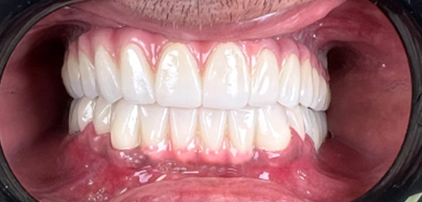
Arcade reabilitate prin dantură fixă
Implanturi dentare inserate săptămânal
Arcade dentare reabilitate săptămânal
La Evodent, nu tratăm doar probleme dentare, ci redăm încrederea pacienților prin zâmbete sănătoase și perfect funcționale.
Experiență medicală bazată pe confort, siguranță și profesionalism
un spațiu modern, dotat cu aparatură de ultimă generație, pentru siguranța și confortul pacienților.
utilizăm anestezie avansată și tehnici minim invazive, astfel încât fiecare pacient să aibă parte de o experiență fără disconfort.
reducerea inflamației și a timpului de recuperare datorită terapiei cu laser.
De la consultație la tratament, îți oferim soluții personalizate pentru sănătatea și frumusețea zâmbetului tău, indiferent de unde vii.
“Lorem ipsum dolor sit amet consectetur. Purus vestibulum consectetur dignissim lectus. Sed mi duis pellentesque tempus turpis hac pulvinar a amet. Diam iaculis bibendum nulla volutpat mattis suscipit id viverra. Dui ligula aliquam cursus pellentesque.”
Programați-vă acum
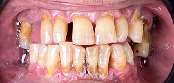
Mesele nu mai sunt o plăcere? Dacă ai ajuns să eviți alimentele preferate din cauza problemelor de mestecat, e timpul pentru o soluție care îți redă libertatea de a mânca fără griji.
Eviți să zâmbești în poze sau să vorbești în public din cauza lipsei dinților? O dantură fixă îți poate reda spontaneitatea și siguranța în interacțiunile de zi cu zi.
Dacă ai pierdut os și ți s-a recomandat doar o proteză mobilă, află că există alternative moderne care îți permit să ai o dantură fixă, stabilă și confortabilă.
Zâmbetul tău s-a schimbat, iar confortul s-a redus? Cu dantura fixă pe implanturi, poți avea din nou o dantură completă și funcțională, fără compromisuri.
Pierderile dentare duc la retragerea maxilarului și schimbă conturul feței. O dantură fixă îți redă expresia naturală și îți menține trăsăturile armonioase.
Dacă ai obosit să te confrunți cu instabilitatea protezei, disconfortul și adezivii ineficienți, dantura fixă este soluția modernă care îți oferă siguranță și libertate.
Nu mai amâna! Dantura fixă pe implanturi îți redă încrederea, sănătatea și confortul în doar 48 de ore.
Sistemul Fast & Fixed este soluția modernă pentru pacienții care vor o dantură fixă pe implanturi rapid, fără durere și cu rezultate de lungă durată.
Programați-vă acum
Medic stomatolog cu 6 ani de experiență în implantologie orală și radiologie dentară. Peste 1.500 de implanturi inserate, specializat în tehnica All-on-X, te ajută să înțelegi cum funcționează
Ne contactezi pentru o consultație gratuită online
Îți analizăm situația și îți oferim un plan de tratament personalizat
Organizăm vizita ta în România, inclusiv cazarea și transportul
În 48 de ore, ai o dantură fixă provizorie
După 4-6 luni, revii pentru finalizarea tratamentului și montarea lucrării definitive
Completează formularul cu numele și numărul tău de telefon, iar echipa noastră te va contacta în cel mai scurt timp pentru a găsi cea mai bună soluție pentru zâmbetul tău.
Dacă locuiești în străinătate și cauți o soluție rapidă, sigură și accesibilă pentru dantura ta, la Evodent îți oferim dantură fixă pe implanturi într-un proces simplu și fără stres. În doar 48 de ore, ai un zâmbet stabil și funcțional, iar noi ne ocupăm de toate detaliile pentru tine!
Proceduri minim invazive, fără disconfort
Lucrare provizorie, urmată de cea definitivă după
Ne ocupăm de fiecare detaliu pentru tine
Ai sprijin din prima clipă până la final
Vezi experiențele pacienților care și-au recăpătat încrederea cu ajutorul implanturilor dentare.
În spatele fiecărui zâmbet redat se află un specialist dedicat, cu experiență și o viziune clară: restaurarea sănătății orale prin soluții moderne și eficiente.
Dr. Lung Ionuț este medic specialist în implantologie dentară, cu expertiză în chirurgia dento-alveolară și o abordare personalizată pentru fiecare pacient. Este membru al Colegiului Medicilor Stomatologi din România și urmează constant cele mai noi tehnici și inovații în domeniu.
Echipa noastră este formată din specialiști acreditați, cu multiple certificări în implantologie dentară, pentru a-ți oferi cele mai sigure și eficiente tratamente.
Clinicile noastre respectă toate standardele europene de igienă și siguranță. În plus, pentru pacienții internaționali, asigurăm transport privat de la aeroport și opțiuni de cazare recomandate, pentru un mediu sigur și confortabil.
După ce stabilim planul de tratament, echipa noastră vă va ajuta cu organizarea călătoriei. Oferim asistență de la aranjarea zborurilor până la rezervarea cazării și transportului local, astfel încât să aveți o experiență fără stres
După ce stabilim planul de tratament, echipa noastră vă va ajuta cu organizarea călătoriei. Oferim asistență de la aranjarea zborurilor până la rezervarea cazării și transportului local, astfel încât să aveți o experiență fără stres
După ce stabilim planul de tratament, echipa noastră vă va ajuta cu organizarea călătoriei. Oferim asistență de la aranjarea zborurilor până la rezervarea cazării și transportului local, astfel încât să aveți o experiență fără stres
După ce stabilim planul de tratament, echipa noastră vă va ajuta cu organizarea călătoriei. Oferim asistență de la aranjarea zborurilor până la rezervarea cazării și transportului local, astfel încât să aveți o experiență fără stres